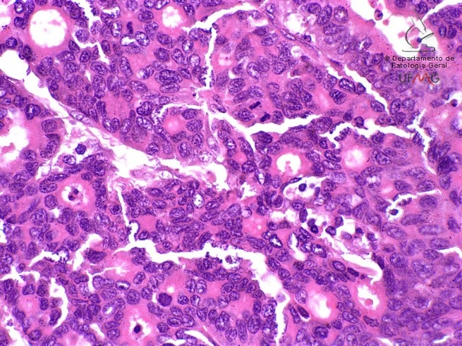
Neoplasia III 60x

Estômago
Adenocarcinoma gástrico
Coloração: HE

Retornar | Avançar