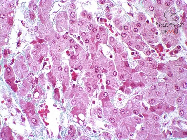
Reparo 60x

Fígado
Coloração: Tricrômico de Gomori
Cirrose hepática

Retornar | Avançar