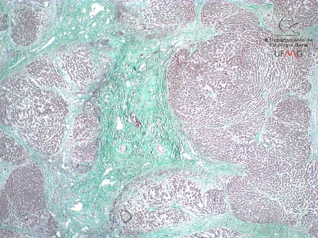
Reparo 4x

Fígado
Coloração: Tricrômico de Gomori
Cirrose hepática

Retornar | Avançar