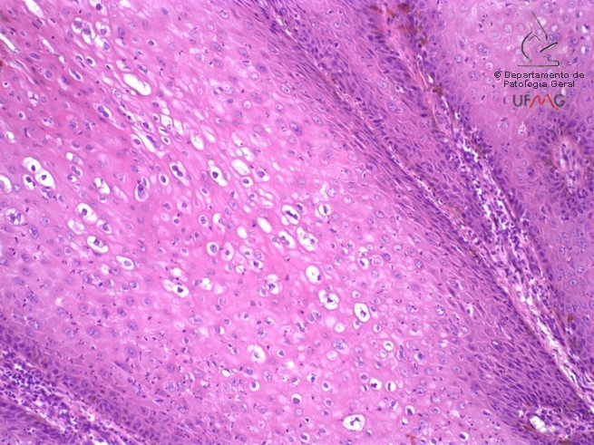
Degeneração Hidrópica - 20X

Pele
Coloração: HE
Condiloma acuminado

Retornar | Avançar